Professional tooth whitening treatment in Cardiff
Tooth whitening
Reveal your brightest, most confident smile with safe tooth whitening treatment at Pontcanna Dental Care.

Why choose us for tooth whitening treatment?
We offer a safe and effective way to enhance your smile and boost confidence. Our experienced team uses trusted, professional tooth whitening treatments tailored to meet your needs.
We are committed to clear communication, patient comfort, and natural-looking results. Whether you're preparing for a special occasion, or simply want a brighter smile, we’ll guide you every step of the way.

What is professional tooth whitening treatment?
Tooth whitening is a cosmetic dental treatment that lightens the colour of your tooth enamel using safe, professional whitening agents. It removes stains and discolouration from eating, drinking and smoking, helping to restore a brighter, more radiant smile. Tooth whitening is carried out at home with custom made trays for about 2 weeks.
Results can vary, but most patients notice a visible improvement after just one session. To find out if tooth whitening is the right treatment for you, contact the practice and book your new patient check-up.

Why should I get professional tooth whitening?
Results in just 2 weeks
Safe and professional
Removes staining
Boosts your confidence
Tooth whitening up to 16 shades lighter
Our professional tooth whitening treatments are designed to brighten your smile safely and effectively. Using trusted systems such as Boutique, our experienced clinicians deliver tailored results that can lift stains and enhance brightness by up to 16 shades.
Every treatment is carried out with precision and care, ensuring long-lasting, natural-looking results. Whether you're looking to refresh your smile or boost your confidence, our whitening treatments offer a simple, effective solution.

Results from tooth whitening treatment


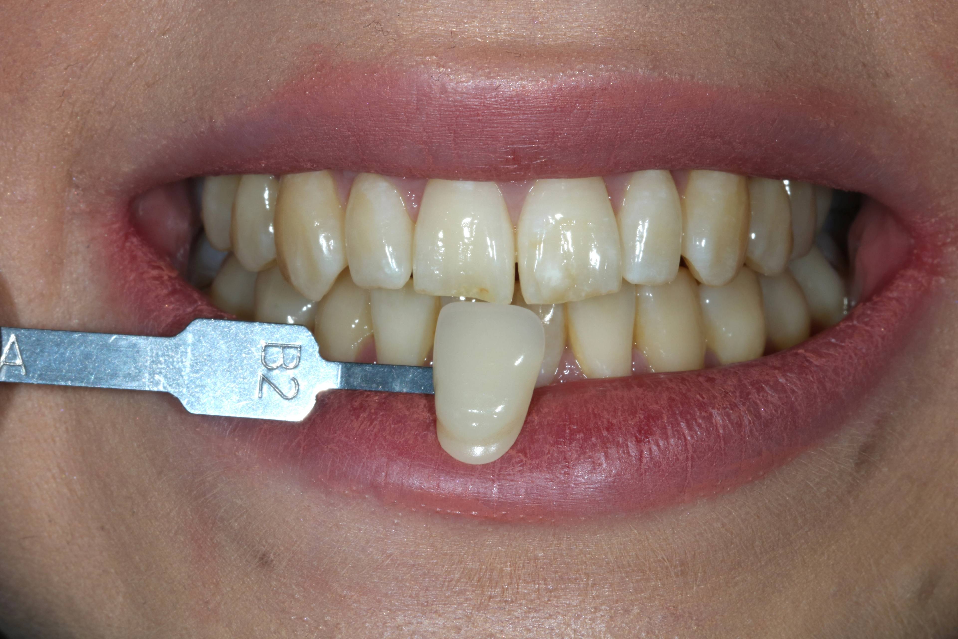
Professional tooth whitening treatment
These results are from the boutique whitening system and are for demonstrative purposes, this patient was not seen at our practice.


Professional tooth whitening treatment
These results are from the boutique whitening system and are for demonstrative purposes, this patient was not seen at our practice.
How much does tooth whitening cost?
A brighter smile should be accessible and affordable. That’s why we offer clear pricing, along with flexible finance options to help spread the cost.
Our commitment to affordable treatment will never compromise the quality of care that we deliver. We use trusted, professional-grade tooth whitening treatments that are delivered by experienced clinicians to ensure you get the results you want.

Your tooth whitening journey at Pontcanna Dental Care
Book an appointment
You'll need a dental check-up, if you haven't had one with us, to assess if you're dentally fit for tooth whitening treatment. We'll then discuss the best whitening options available for you.
Take home your tooth whitening trays
Enjoy the comfortable, professional treatment using safe whitening products at home. Follow treatment instructions for 2 weeks or as advised by the dentist.
Enjoy a whiter smile
By following on from treatment with good aftercare, your tooth whitening can last several months before reapplication or a top-up is needed.

Brighten your smile with tooth whitening at Pontcanna Dental Care
The process is straightforward and non-invasive, so you can work towards achieving a bright smile today. Speak to our team today or book your new patient consultation online.